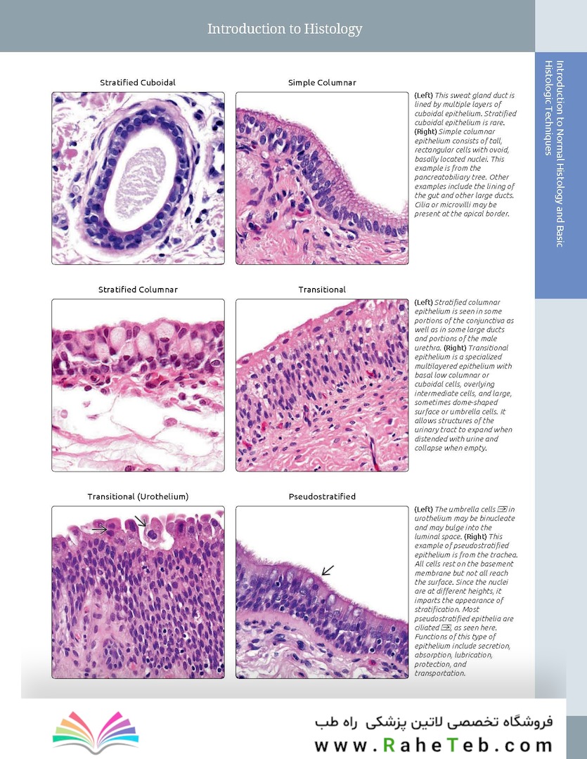
(29 ) Diagnostic Pathology: Normal Histology 3rd Edition Diagnostic Pathology: Normal Histology 3rd Edition Diagnostic Pathology: Normal Histology 3rd Edition Diagnostic Pathology: Normal Histology 3rd Edition Diagnostic Pathology: Normal Histology 3rd Edition Diagnostic Pathology: Normal Histology 3rd Edition Diagnostic Pathology: Normal Histology 3rd Edition Diagnostic Pathology: Normal Histology 3rd Edition Diagnostic Pathology: Normal Histology 3rd Edition Diagnostic Pathology: Normal Histology 3rd Edition Diagnostic Pathology: Normal Histology 3rd Edition Diagnostic Pathology: Normal Histology 3rd Edition Diagnostic Pathology: Normal Histology 3rd Edition Diagnostic Pathology: Normal Histology 3rd Edition Diagnostic Pathology: Normal Histology 3rd Edition Diagnostic Pathology: Normal Histology 3rd Edition Diagnostic Pathology: Normal Histology 3rd Edition Diagnostic Pathology: Normal Histology 3rd Edition Diagnostic Pathology: Normal Histology 3rd Edition کد کتاب: 198444 نوع صحافی سیمی 1 جلدی 50,000 تومان سیمی 2 جلدی 100,000 تومان سیمی 3 جلدی 150,000 تومان سیمی 4 جلدی 200,000 تومان سیمی 5 جلدی 250,000 تومان سیمی 6 جلدی 300,000 تومان شومیز(جلد نرم) 60,000 تومان هارد کاور 1جلدی (جلد سخت) 130,000 تومان هارد کاور 2جلدی (جلد سخت) 260,000 تومان هارد کاور 3جلدی (جلد سخت) 390,000 تومان نوع چاپ تحریر + رنگی سیاه و سفید 370,000 تومان کسر مبلغ گلاسه+رنگی+ سیمی 1,830,000 تومان قیمت و موجودی بروز میباشد ، با خیال راحت خرید کنید ناشر: ELSEVIER گروه بندی : علوم پزشکی علوم پزشکی ELSEVIER گارانتی اصالت و سلامت فیزیکی کالا ارسال رایگان حداقل 70000000 ارسال بین 4 تا 7 روز 1,848,000 قیمت اصلی: ۱,۸۴۸,۰۰۰ تومان بود. 1,664,000قیمت فعلی : ۱,۶۶۴,۰۰۰ تومان 1 جمع این کالا :
ناشر ELSEVIER Rosen's Emergency Medicine: Concepts and Clinical Practice 10th Edicion کد کتاب :155447 %10 5,064,000۴,۵۵۷,۶۰۰قیمت قبلی: ۵,۰۶۴,۰۰۰ تومان بود قیمت فعلی: ۴,۵۵۷,۶۰۰ تومان
ناشر ELSEVIER Lehninger Principles of Biochemistry Eighth Edicion کد کتاب :121913 %10 3,606,000۳,۲۴۶,۰۰۰قیمت قبلی: ۳,۶۰۶,۰۰۰ تومان بود قیمت فعلی: ۳,۲۴۶,۰۰۰ تومان
ناشر ELSEVIER Image-Guided Interventions, 3rd Edition2020 کد کتاب :120738 %10 3,637,000۳,۲۷۴,۰۰۰قیمت قبلی: ۳,۶۳۷,۰۰۰ تومان بود قیمت فعلی: ۳,۲۷۴,۰۰۰ تومان
ناشر ELSEVIER Guyton and Hall Textbook of Medical Physiology (Guyton Physiology) 14th Edicion کد کتاب :105668 %10 1,400,000۱,۲۶۰,۰۰۰قیمت قبلی: ۱,۴۰۰,۰۰۰ تومان بود قیمت فعلی: ۱,۲۶۰,۰۰۰ تومان
ناشر ELSEVIER Major Depressive Disorder 1st Edition2019 اختلال افسردگی اساسی کد کتاب :120415 %10 744,000۶۷۰,۰۰۰قیمت قبلی: ۷۴۴,۰۰۰ تومان بود قیمت فعلی: ۶۷۰,۰۰۰ تومان
ناشر ELSEVIER Guyton and Hall Textbook of Medical Physiology (Guyton Physiology) 15th Edition کد کتاب :197682 %10 3,080,000۲,۷۷۲,۰۰۰قیمت قبلی: ۳,۰۸۰,۰۰۰ تومان بود قیمت فعلی: ۲,۷۷۲,۰۰۰ تومان
ناشر ELSEVIER Williams Textbook of Endocrinology 15th Edition 2024 کد کتاب :190817 %10 4,599,000۴,۱۳۹,۱۰۰قیمت قبلی: ۴,۵۹۹,۰۰۰ تومان بود قیمت فعلی: ۴,۱۳۹,۱۰۰ تومان
ناشر ELSEVIER 2025 Nelson Textbook of Pediatrics, 22nd Edition کد کتاب :190753 %10 8,283,000۷,۴۵۴,۷۰۰قیمت قبلی: ۸,۲۸۳,۰۰۰ تومان بود قیمت فعلی: ۷,۴۵۴,۷۰۰ تومان
ناشر ELSEVIER Plastic Surgery Neligan Volume 1: Principles 5th Edition 2024 کد کتاب :188803 %10 2,477,000۲,۲۲۹,۳۰۰قیمت قبلی: ۲,۴۷۷,۰۰۰ تومان بود قیمت فعلی: ۲,۲۲۹,۳۰۰ تومان
ناشر ELSEVIER Robbins - Kumar Basic Pathology 11th Edicion کد کتاب :187368 %10 2,187,000۱,۹۶۸,۳۰۰قیمت قبلی: ۲,۱۸۷,۰۰۰ تومان بود قیمت فعلی: ۱,۹۶۸,۳۰۰ تومان
ناشر ELSEVIER Plastic Surgery Neligan Volume 3: Craniofacial, Head and Neck Surgery and Pediatric Plastic Surgery 5th Edition 2023 کد کتاب :188805 %10 2,712,000۲,۴۴۰,۸۰۰قیمت قبلی: ۲,۷۱۲,۰۰۰ تومان بود قیمت فعلی: ۲,۴۴۰,۸۰۰ تومان
ناشر ELSEVIER Addiction Psychiatric Medicine 1st Edition کد کتاب :186752 %10 871,000۷۸۳,۹۰۰قیمت قبلی: ۸۷۱,۰۰۰ تومان بود قیمت فعلی: ۷۸۳,۹۰۰ تومان
ناشر John Wiley and Sons Ltd Atlas of Cone Beam Computed Tomography 2022 کد کتاب :144526 %10 1,553,000۱,۳۹۸,۰۰۰قیمت قبلی: ۱,۵۵۳,۰۰۰ تومان بود قیمت فعلی: ۱,۳۹۸,۰۰۰ تومان
ناشر ELSEVIER Rosen's Emergency Medicine: Concepts and Clinical Practice 10th Edicion کد کتاب :155447 %10 5,064,000۴,۵۵۷,۶۰۰قیمت قبلی: ۵,۰۶۴,۰۰۰ تومان بود قیمت فعلی: ۴,۵۵۷,۶۰۰ تومان
ناشر آرتین طب Harrison's Principles of Internal Medicine, 21th 2022 کد کتاب :155040 %12 5,060,000۴,۴۵۳,۰۰۰قیمت قبلی: ۵,۰۶۰,۰۰۰ تومان بود قیمت فعلی: ۴,۴۵۳,۰۰۰ تومان
ناشر اندیشه رفیع Oxford Handbook of Clinical Medicine (Oxford Medical Handbooks) 11th Edition 2024 کد کتاب :190670 %10 650,000۵۸۵,۰۰۰قیمت قبلی: ۶۵۰,۰۰۰ تومان بود قیمت فعلی: ۵۸۵,۰۰۰ تومان
ناشر Oxford University Press Oxford Handbook of Emergency Medicine, 5th Edition2020 کد کتاب :119121 %10 1,911,400۱,۷۲۱,۰۰۰قیمت قبلی: ۱,۹۱۱,۴۰۰ تومان بود قیمت فعلی: ۱,۷۲۱,۰۰۰ تومان
ناشر ELSEVIER Major Depressive Disorder 1st Edition2019 اختلال افسردگی اساسی کد کتاب :120415 %10 744,000۶۷۰,۰۰۰قیمت قبلی: ۷۴۴,۰۰۰ تومان بود قیمت فعلی: ۶۷۰,۰۰۰ تومان
ناشر ELSEVIER Image-Guided Interventions, 3rd Edition2020 کد کتاب :120738 %10 3,637,000۳,۲۷۴,۰۰۰قیمت قبلی: ۳,۶۳۷,۰۰۰ تومان بود قیمت فعلی: ۳,۲۷۴,۰۰۰ تومان
ناشر Jaypee Brothers Medical Publishers Jaypee's Video Atlas of Operative Otorhinolaryngology and Head - Neck Surgery2014 کد کتاب :143165 %10 918,000۸۲۷,۰۰۰قیمت قبلی: ۹۱۸,۰۰۰ تومان بود قیمت فعلی: ۸۲۷,۰۰۰ تومان
ناشر Pharmaceutical Press BNF 80 کد کتاب :155094 %10 2,231,000۲,۰۰۷,۹۰۰قیمت قبلی: ۲,۲۳۱,۰۰۰ تومان بود قیمت فعلی: ۲,۰۰۷,۹۰۰ تومان
ناشر ELSEVIER Guyton and Hall Textbook of Medical Physiology (Guyton Physiology) 14th Edicion کد کتاب :105668 %10 1,400,000۱,۲۶۰,۰۰۰قیمت قبلی: ۱,۴۰۰,۰۰۰ تومان بود قیمت فعلی: ۱,۲۶۰,۰۰۰ تومان
ناشر Taylor & Francis Ltd Chamberlain's Symptoms and Signs in Clinical Medicine, An Introduction to Medical Diagnosis کد کتاب :143438 %10 1,856,000۱,۶۷۱,۰۰۰قیمت قبلی: ۱,۸۵۶,۰۰۰ تومان بود قیمت فعلی: ۱,۶۷۱,۰۰۰ تومان
ناشر Lippincott Williams DeVita, Hellman, and Rosenberg's Cancer : Principles - Practice of Oncology 12th Edicion کد کتاب :187358 %10 5,600,000۵,۰۴۰,۰۰۰قیمت قبلی: ۵,۶۰۰,۰۰۰ تومان بود قیمت فعلی: ۵,۰۴۰,۰۰۰ تومان